Einige Frauen, die sich einer Fruchtbarkeitsbehandlung unterziehen, erleben ein ovarielles Hyperstimulations-Syndrom. Diese Komplikation kann jedoch bei frühzeitiger Erkennung gut behandelt werden.
Was versteht man unter Ovarielles Hyperstimulations-Syndrom?
Das Ovarielle Hyperstimulations-Syndrom tritt aufgrund einer Überreaktionen auf die hormonelle Stimulationsbehandlung auf, z.B bei hohen Gaben von Gonadotropin. HCG ist ein Hormon, das für gewöhnlich während der Schwangerschaft produziert wird und häufig bei Fruchtbarkeitsbehandlungen für die Reifung der Eizellen eingesetzt wird.
In manchen Fällen führt HCG dazu, dasss die Blutgefäße in den Eierstöcken überstimuliert werden und dadurch die Durchlässigkeit der Blutgefäßwände erhöht wird. Die Folge ist ein vermehrter Austritt von Flüssigkeit, wodurch es zu geschwollenen und entzündeten Eierstöcken kommt. Auch Zysten können entstehen. In schweren Fällen kann die Flüssigkeit in den Bauchraum fließen, wodurch auch andere Organe beeinträchtigt werden.
Wer hat ein erhöhtes Risiko?
Zwischen ein und zwei Prozent aller Frauen, die sich Fruchtbarkeitsbehandlungen unterziehen, insbesondere Hormonbehandlungen, erleben bis zu einem bestimmten Maß ein ovarielles Hyperstimulations-Syndrom. Davon sind häufig Frauen betroffen, die sich bestimmten Verfahren wie einer IVF, Ovulationsinduktion oder intrauterinen Insemination unterziehen. Jüngere Frauen, die unter 30 sind, an PCOS leiden oder über eine große Anzahl von Follikeln verfügen, sind einem größeren Risiko ausgesetzt. Auch jene mit einem geringen Körpergewicht sind öfter betroffen. Frauen, die eines dieser Risiken aufweisen, sollten umgehend einen Arzt aufsuchen, wenn sie Symptome wahrnehmen, die auf ein Ovarielles Hyperstimulations-Syndrom hindeuten.
Anzeichen und Symptome
Das Ovarielle Hyperstimulations-Syndrom kann sowohl kurz- als auch langfristige Auswirkungen haben. Die Symptome zu erkennen ist hilfreich, damit der Arzt zeitgerecht mit der Behandlung beginnen kann. Das primäre Symptom von OSS sind geschwollene und schmerzende Eierstöcke, die zu anhaltenden Beschwerden führen. Zu den weiteren Symptomen zählen Übelkeit, Durchfall, Blähungen und eine schnelle Gewichtszunahme. So nehmen einige Frauen bis zu 3 Kilogramm innerhalb von 5 bis 10 Tagen zu.
In mittelschweren bis schweren Fällen können heftige Bauchschmerzen sowie starke Übelkeit und Kurzatmigkeit auftreten. Aufgrund der Flüssigkeitsansammlung im Bauch können Betroffene zwischen 15 und 20 Kilogramm innerhalb kurzer Zeit zunehmen. Bei vielen kommt es zu Blutgerinnseln in den Beinen und aufgrund von Dehydration zu einer verminderten Harnausscheidung.
Unbehandelt, kann das Ovarielle Hyperstimulations-Syndrom schwerwiegende, langfristige Auswirkungen haben. Elektrolytanomalien und chronische Dehydratation können Nierenversagen und in seltenen Fällen sogar zum Tod führen. OHSS kann auch Komplikationen wie eine Verdrehung der Eierstöcke sowie das Platzen von Zysten verursachen. Wenn die Frau schwanger ist, ergibt sich zudem ein höheres Risiko für eine Fehlgeburt.
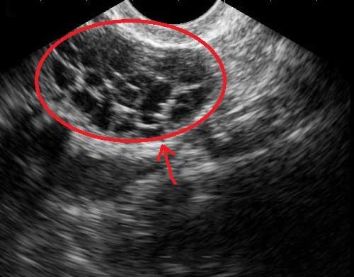
Behandlungsmöglichkeiten
Die meisten Symptome sind nur schwach und lassen innerhalb einer Woche nach. Dennoch müssen alle Fälle streng überwacht werden, falls ein Eingriff erforderlich wird. Betroffene sollten sich zweimal pro Tag wiegen, um eine abrupte Gewichtszunahme zu erkennen. Zudem sollten sie auch ihre Harnausscheidung im Auge behalten. Bei plötzlichen Änderungen ist in jedem Fall umgehend ein Arzt zu konsultieren, der Untersuchungen wie einen Vaginalultraschall vornimmt, um Schwellungen der Eierstöcke sowie mögliche Zysten zu beobachten. Zudem werden Bluttests gemacht, um sicherzustellen, dass die Nieren richtig funktionieren. Zur Vermeidung von Blutgerinnseln in den Beinen sollten Kompressionsstrümpfe getragen werden.
In schweren Fällen kann es notwendig werden, die überschüssige Flüssigkeit aus Eierstöcken oder Bauch abfließen zu lassen. Dies geschieht mithilfe einer Aszitespunktion. Ärzte können auch GnRH-Analoga verabreichen, um die Eierstock-Aktivität zu unterdrücken, wenn sich der Zustand der Patientin nicht innerhalb einer Woche verbessert oder sogar verschlechtert. Wenn Ovarialzysten platzen, oder wenn andere Organe wie die Leber beschädigt werden, kann ein operativer Eingriff erforderlich werden.
Patientinnen, die von OHSS betroffen sind oder bei denen der Verdacht besteht, sollten auf sexuelle Aktivitäten sowie das Heben von schweren Gegenständen verzichten sowie den Anweisungen des Arztes folgen. Oft hilft die Monatsblutung dabei, die Auswirkungen von OHSS zu verringern, während eine Schwangerschaft diese erschwert. Die überwiegende Mehrheit der Fälle löst sich von selbst und ohne den Eisatz von Hormonen; dennoch ist eine enge Überwachung von entscheidender Beutung, um langfristige Nebenwirkungen zu vermeiden.
Das Ovarielle Hyperstimulations-Syndrom muss nicht zwangsläufig als Nebenwirkung einer Fruchtbarkeitsbehandlung auftreten. Das Wissen über mögliche Symptome ist jedoch hilfreich für eine schnelle Diagnose und Behandlung.




